
무기폐(Atelectasis)는 폐의 일부 또는 전체가 제대로 팽창되지 않아 폐포가 무기력해지는 상태를 의미합니다. 이는 산소 공급에 문제를 초래할 수 있으며, 경미한 경우 증상이 거의 없을 수도 있지만 심한 경우 호흡곤란과 저산소증을 유발할 수 있습니다.
무기폐의 발생 원인과 종류
무기폐는 폐의 일부 또는 전체가 허탈되어 공기가 없어지는 상태를 말합니다. 이는 폐포가 닫히거나, 기관지가 막히거나, 폐를 둘러싼 흉막 공간에 공기나 액체가 차면서 발생할 수 있습니다. 무기폐는 다양한 원인에 의해 발생하며, 크게 폐쇄성 무기폐와 비폐쇄성 무기폐로 나눌 수 있습니다. 폐쇄성 무기폐는 기관지 내부 또는 외부의 요인에 의해 기관지가 막혀 발생합니다. 기관지 내부 폐쇄의 원인으로는 종양, 이물질 흡입, 가래 덩어리, 염증 등이 있으며, 기관지 외부 폐쇄의 원인으로는 종양, 림프절 비대 등이 있습니다. 비폐쇄성 무기폐는 기관지 막힘 없이 폐포가 허탈되는 경우로, 수술 후 통증으로 인한 얕은 호흡, 흉막 삼출, 기흉, 폐 섬유화, 계면활성제 부족 등이 원인이 될 수 있습니다. 무기폐는 모든 연령대에서 발생할 수 있지만, 특히 수술 후 환자, 만성 폐 질환 환자, 노인, 영유아에게서 발생 위험이 높습니다. 수술 후 무기폐는 마취로 인한 호흡 억제, 통증으로 인한 얕은 호흡, 기관지 분비물 축적 등이 복합적으로 작용하여 발생합니다. 만성 폐 질환 환자는 기관지 손상, 가래 배출 능력 저하 등으로 인해 무기폐 발생 위험이 높습니다. 노인은 폐 기능 저하, 기침 반사 저하 등으로 인해 무기폐에 취약하며, 영유아는 작은 기도 크기, 미성숙한 폐 기능 등으로 인해 무기폐가 쉽게 발생할 수 있습니다. 무기폐는 발생 원인에 따라 다양한 종류로 나뉘며, 각 종류에 따라 증상과 치료법이 달라질 수 있습니다. 따라서 무기폐의 정확한 원인을 파악하고 적절한 치료를 받는 것이 중요합니다.
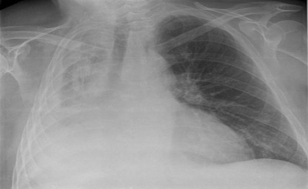
무기폐의 증상과 진단 과정
무기폐의 증상은 무기폐의 범위, 발생 속도, 기저 질환 등에 따라 다양하게 나타납니다. 작은 범위의 무기폐는 증상이 없을 수 있지만, 넓은 범위의 무기폐는 심각한 호흡 곤란을 유발할 수 있습니다. 급성으로 발생한 무기폐는 호흡 곤란, 흉통, 기침, 쌕쌕거림, 청색증 등의 증상을 동반할 수 있으며, 만성적으로 진행된 무기폐는 호흡 곤란, 만성 기침, 가래 등의 증상을 유발할 수 있습니다. 무기폐의 가장 흔한 증상은 호흡 곤란으로, 숨을 쉬기 어렵거나 답답한 느낌이 들 수 있습니다. 흉통은 무기폐가 발생한 부위에 통증이 느껴지는 증상이며, 기침은 기관지가 자극되어 발생할 수 있습니다. 쌕쌕거림은 좁아진 기도를 통과하는 공기 때문에 발생하는 소리이며, 청색증은 혈액 내 산소 부족으로 인해 피부가 푸르게 변하는 증상입니다. 무기폐는 흉부 X선 촬영, CT 촬영, 기관지 내시경 등을 통해 진단할 수 있습니다. 흉부 X선 촬영은 폐의 허탈 여부를 확인하는 가장 기본적인 검사이며, CT 촬영은 무기폐의 원인과 범위를 보다 정확하게 파악하는 데 도움을 줍니다. 기관지 내시경은 기관지 내부를 직접 관찰하고, 필요한 경우 조직 검사나 이물질 제거를 시행할 수 있는 검사입니다. 무기폐는 다양한 원인에 의해 발생할 수 있으므로, 정확한 진단을 통해 원인 질환을 파악하고 적절한 치료를 받는 것이 중요합니다.
무기폐의 치료와 관리
무기폐의 치료는 원인 질환에 따라 달라집니다. 폐쇄성 무기폐의 경우, 기관지 내 이물질이나 종양을 제거하는 것이 치료의 핵심입니다. 기관지 내부 폐쇄는 기관지 내시경을 통해 이물질을 제거하거나 종양을 절제할 수 있으며, 기관지 외부 폐쇄는 수술을 통해 종양을 제거하거나 림프절 비대를 해소할 수 있습니다. 비폐쇄성 무기폐의 경우, 원인 질환에 대한 치료와 함께 호흡 재활 치료를 시행합니다. 흉막 삼출이나 기흉으로 인한 무기폐는 흉관 삽입을 통해 흉막 공간의 공기나 액체를 제거하며, 폐 섬유화로 인한 무기폐는 약물 치료와 함께 호흡 재활 치료를 시행합니다. 수술 후 무기폐는 심호흡, 기침, 체위 배액 등을 통해 폐의 확장을 돕고, 필요한 경우 기관지 내시경을 통해 가래를 제거합니다. 무기폐 환자는 호흡 곤란을 완화하고 폐 기능을 회복하기 위해 호흡 재활 치료를 받는 것이 좋습니다. 호흡 재활 치료는 호흡 운동, 기침 연습, 가래 배출 훈련 등을 통해 폐활량을 늘리고 호흡 근력을 강화하는 데 도움을 줍니다. 무기폐 예방을 위해서는 수술 후 심호흡과 기침을 적극적으로 실천하고, 만성 폐 질환 환자는 꾸준히 치료를 받는 것이 중요합니다. 또한 금연, 간접흡연 피하기, 규칙적인 운동 등 건강한 생활 습관을 유지하는 것이 폐 건강에 도움이 됩니다. 무기폐는 조기에 발견하고 적절히 치료하면 폐 기능 회복과 합병증 예방에 효과적입니다. 따라서 무기폐 의심 증상이 있다면 즉시 병원에 방문하여 진료를 받는 것이 중요합니다.