
결핵(Tuberculosis, TB)은 결핵균(Mycobacterium tuberculosis)에 의해 발생하는 감염병으로, 주로 폐를 감염시키지만 신장, 뇌, 척추 등 다른 신체 부위에도 영향을 미칠 수 있다. 공기 중의 비말을 통해 전파되며, 세계적으로 심각한 공중보건 문제로 여겨진다.
결핵의 원인 및 전파 경로
결핵은 결핵균(Mycobacterium tuberculosis)에 의해 발생하는 감염성 질환으로, 주로 폐를 침범하지만 인체의 여러 부위에서 발생할 수 있다. 결핵균은 매우 강한 생존력을 가지고 있으며, 외부 환경에서도 일정 시간 동안 생존할 수 있다. 결핵균은 공기 중으로 전파되는 특성을 가지며, 특히 감염자의 기침, 재채기, 대화 중에 생성된 미세한 비말을 통해 다른 사람에게 감염될 가능성이 높다.
결핵균은 일반적인 표면 접촉(예: 악수, 옷을 만지는 것)이나 음식 공유로는 전파되지 않는다. 주된 감염 경로는 폐결핵 환자가 기침할 때 나오는 미세한 결핵균이 포함된 비말을 건강한 사람이 흡입하는 것이다. 이 비말은 공기 중에 오래 머물 수 있으며, 환기가 잘되지 않는 공간에서 오랫동안 머무르면 감염 위험이 커진다.
결핵균에 감염되더라도 모든 사람이 즉시 발병하는 것은 아니다. 신체의 면역 체계가 강하면 결핵균이 몸속에서 비활성 상태로 남아 있을 수 있으며, 이를 잠복결핵이라고 한다. 잠복결핵 환자는 증상이 없고 타인에게 전염시키지 않지만, 면역력이 약해지면 결핵균이 활성화되어 활동성 결핵으로 발전할 수 있다.
또한, 결핵의 감염 위험을 증가시키는 요인으로는 면역력 저하, 영양 부족, 만성 질환(예: 당뇨병, HIV 감염), 흡연, 알코올 중독 등이 있다. 특히 HIV 감염자는 면역 체계가 약하기 때문에 결핵균 감염 후 활동성 결핵으로 발전할 위험이 높다.
결핵의 다양한 증상과 진단 과정: 놓치지 말아야 할 신호
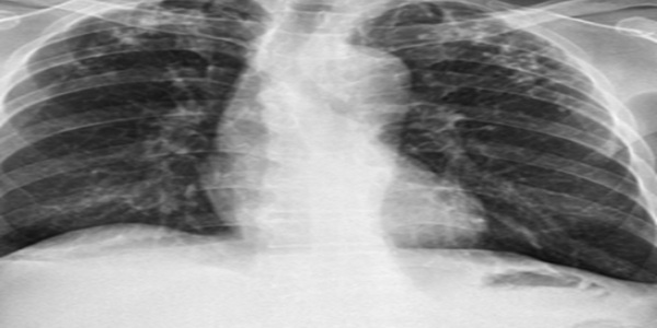
결핵은 폐결핵, 폐외결핵 등 다양한 형태로 나타날 수 있습니다. 폐결핵은 가장 흔한 형태의 결핵으로, 기침, 가래, 객혈 등의 호흡기 증상이 나타납니다. 기침은 초기에는 가벼운 기침으로 시작하지만, 점차 심해지고 2주 이상 지속될 수 있습니다. 가래는 맑은 가래에서 누런 가래로 변할 수 있으며, 피가 섞여 나오기도 합니다. 객혈은 기침과 함께 피가 나오는 증상으로, 결핵이 진행된 경우에 나타날 수 있습니다. 이 외에도 발열, 오한, 피로감, 식욕 부진, 체중 감소, 야간 발한 등의 전신 증상이 나타날 수 있습니다. 폐외결핵은 폐 이외의 장기에 발생하는 결핵으로, 림프절, 뼈, 관절, 뇌, 신장 등 다양한 장기에 발생할 수 있습니다. 폐외결핵의 증상은 발생 부위에 따라 다르지만, 발열, 통증, 부종 등의 증상이 나타날 수 있습니다. 결핵은 초기에는 증상이 없을 수 있으며, 증상이 나타나더라도 감기와 비슷하게 느껴질 수 있습니다. 따라서 2주 이상 기침, 가래 등의 호흡기 증상이 지속되거나, 발열, 피로감, 체중 감소 등의 전신 증상이 나타나면 결핵을 의심하고 병원에 방문하여 진료를 받아야 합니다. 결핵 진단은 흉부 X선 촬영, 객담 검사, 결핵균 검사 등을 통해 이루어집니다. 흉부 X선 촬영은 폐의 이상 여부를 확인하는 검사이며, 객담 검사는 가래 속에 결핵균이 있는지 확인하는 검사입니다. 결핵균 검사는 객담을 배양하여 결핵균을 확인하는 검사로, 가장 정확한 결핵 진단 방법입니다.
결핵의 효과적인 치료와 관리: 완치를 향한 노력
결핵은 항결핵제를 복용하여 치료할 수 있습니다. 결핵 치료는 여러 가지 항결핵제를 함께 복용하는 복합 요법으로 진행되며, 치료 기간은 최소 6개월 이상입니다. 결핵 치료 중에는 약물을 꾸준히 복용하고, 정기적으로 검사를 받아야 합니다. 결핵 치료를 중단하거나 약물을 불규칙하게 복용하면 약물 내성 결핵이 발생할 수 있으며, 치료가 더욱 어려워집니다. 따라서 결핵 치료는 의사의 지시에 따라 꾸준히 받는 것이 중요합니다. 결핵 환자는 치료 기간 동안 다른 사람에게 결핵을 전파할 수 있으므로, 기침 예절을 지키고, 마스크를 착용하는 것이 좋습니다. 또한 결핵 환자는 영양 상태를 개선하고, 충분한 휴식을 취하는 것이 치료에 도움이 됩니다. 결핵은 완치가 가능한 질병이지만, 치료 기간이 길고, 약물 부작용이 발생할 수 있으므로, 환자와 의료진 간의 신뢰와 협력이 중요합니다. 결핵 예방을 위해서는 BCG 백신을 접종하는 것이 좋습니다. BCG 백신은 특히 영유아의 중증 결핵 예방에 효과적입니다. 이 외에도 결핵 환자와의 접촉을 피하고, 개인위생 관리를 철저히 하는 것이 결핵 예방에 도움이 됩니다. 결핵은 조기에 발견하고 꾸준히 치료하면 완치할 수 있습니다. 결핵 의심 증상이 있다면 주저하지 말고 병원에 방문하여 진료를 받는 것이 중요합니다.