
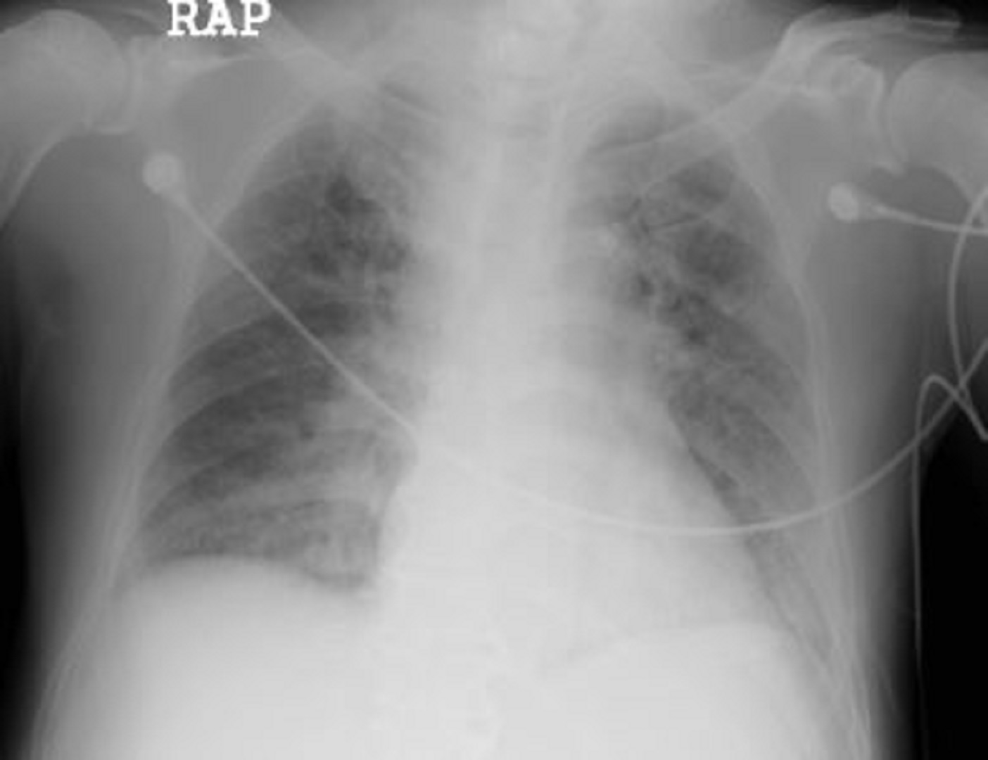
폐부종은 폐에 과도한 체액이 쌓이는 질환입니다. 호흡 곤란을 유발하여서 심각한 경우 생명을 위협할 수 있습니다. 주로 심장 질환과 관련이 깊지만, 감염, 신장 질환, 약물 부작용 등 다양한 원인에 의해 발생할 수 있습니다. 본 글에서는 폐부종의 주요 원인, 나타나는 증상, 그리고 효과적인 치료 방법에 대해서 자세히 알아보겠습니다.
호흡기 질환 폐부종의 주요 원인
폐부종은 여러 가지 원인에 의해 발생할 수 있습니다. 하지만 크게 심인성 폐부종과 비심인성 폐부종으로 나눌 수 있습니다. 심인성 폐부종은 심장 기능의 저하로 인해 폐의 혈관 내 압력이 증가하여서 체액이 폐로 스며드는 경우입니다. 대표적인 원인은 좌심실부전, 심장 판막 질환, 고혈압, 심근경색 등입니다. 이 경우 심장이 혈액을 제대로 내보내지 못하면 폐 혈관의 압력이 높아지고, 혈장이 폐포로 스며들어서 폐부종이 발생합니다.
반면 비심인성 폐부종은 심장과 직접적인 관련이 없는 원인으로 발생하는 경우입니다. 급성 호흡곤란 증후군(ARDS), 패혈증, 신부전, 약물 반응, 고산병 등이 주요 원인으로 꼽힙니다. 예를 들어서 심각한 감염이 발생하면 염증 반응으로 인해서 혈관의 투과성이 증가하여 체액이 폐로 이동할 수 있습니다. 또한, 신부전 환자의 경우 체내 수분 조절 기능이 저하되어 폐부종이 발생하기 쉽습니다.
이 외에도 흡입 독소(예: 연기, 화학 물질), 심한 알레르기 반응, 신경 손상(예: 뇌출혈, 뇌손상) 등도 폐부종을 유발할 수 있습니다. 원인을 정확하게 파악하는 것이 치료에 있어 매우 중요합니다.
폐부종의 주요 증상
폐부종이 발생하면 가장 먼저 호흡 곤란이 나타납니다. 초기에는 운동할 때 숨이 차는 정도로 시작되지만, 상태가 악화되면 가만히 있을 때도 숨이 차고, 심할 경우 숨을 들이마시기조차 어려운 상태에 이르게 됩니다. 이는 폐에 체액이 차면서 산소 교환이 원활하게 이루어지지 않기 때문입니다.
또한, 폐부종 환자들은 기침을 자주 하게 되면서 이때 거품이 섞인 분홍색 가래가 나올 수 있습니다. 이는 폐 속 체액이 기도로 유입되었음을 의미합니다. 그리고 응급 처치가 필요할 수 있습니다. 심한 경우에는 청색증(입술이나 손끝이 파랗게 변함)이 나타날 수 있습니다. 그리고 이는 산소 부족이 심각하다는 신호입니다.
그 외에도 폐부종이 있는 환자들은 가슴 통증이나 빠른 심박수(빈맥)를 경험할 수 있습니다. 이는 폐부종의 원인이 되는 심장 문제와 관련이 있을 가능성이 높습니다. 또한, 밤에 갑자기 숨이 막히는 야간 호흡곤란이 발생할 수도 있습니다. 눕는 자세에서 증상이 악화되기 때문에 베개를 높여야 숨쉬기가 편한 정형호흡(orthopnea) 증상이 나타날 수도 있습니다.
폐부종이 심한 경우 의식 저하, 심한 불안감, 차가운 땀, 현기증 등이 동반될 수 있으며, 이러한 증상은 응급 치료가 필요하다는 신호이므로 즉시 병원을 방문해야 합니다.
폐부종의 치료 방법 및 예방
폐부종 치료는 원인에 따라 달라집니다. 하지만 일반적으로 산소 공급, 이뇨제 투여, 원인 질환 치료가 기본적인 치료 전략입니다. 우선, 환자가 심한 호흡 곤란을 겪고 있다면 산소 치료가 필요합니다. 심한 경우 기계 환기(인공호흡기)나 양압 호흡기(예: CPAP, BiPAP)를 사용할 수 있습니다.
또한, 폐부종 환자는 체액 과다로 인해서 증상이 악화될 수 있으므로, 이뇨제(예: 푸로세미드)를 사용하여 과도한 체액을 배출시키는 것이 중요합니다. 이뇨제를 사용하면 혈액 내 체액량이 감소하여 폐 혈관 내 압력이 낮아지고, 결과적으로 폐부종 증상이 완화됩니다.
심장 문제로 인한 폐부종이라면 혈압을 조절하는 약물(예: 니트로글리세린, ACE 억제제)이 사용될 수 있습니다. 또한, 심박출량이 감소한 경우 강심제(예: 도부타민)를 투여하여서 심장의 펌프 기능을 강화할 수도 있습니다.
폐부종을 예방하려면 기저 질환을 철저히 관리하는 것이 필수적입니다. 고혈압, 심부전, 신부전이 있는 경우 정기적인 검진을 받고, 적절한 약물 치료를 유지해야 합니다. 또한, 저염식과 균형 잡힌 식단을 유지하고, 적절한 운동을 통해서 심장 건강을 관리하는 것이 중요합니다.
흡연은 폐와 심장 건강에 악영향을 미치므로 금연하는 것이 좋습니다. 그리고 과도한 음주도 피해야 합니다. 또한, 스트레스를 줄이고 충분한 수면을 취하는 것도 폐부종 예방에 도움이 됩니다.
만약 호흡 곤란이 갑자기 악화되거나, 야간에 호흡이 어려워지는 증상이 반복된다면 즉시 병원을 방문하여서 검사를 받아야 합니다. 폐부종은 조기에 치료하면 심각한 합병증을 막을 수 있으므로 증상을 무시하지 않는 것이 중요합니다.